Sehr geehrte Damen und Herren,
Jetzt zum Problem: Mit dem Fußball spielen habe ich aufgrund des "Stop&go´s" aufgehört. Seit dem letzten Jahr betreibe ich Triathlon.
Was wunderlich ist, dass ich Sport treiben kann und es während der Belastung auch eigentlich nicht weh tut. Nach dem Sport merke ich es dann ein wenig (gerade wenn ich in das Tibiofibulargelenk reindrücke). Der Schmerz ist nicht sehr stark, viel mehr nervend / störend. Teilweise rutsche ich an diesem Punkt auch über eine art Band / sehne, was mir dann weh tut.
Er hindert mich an einem intensiven und letzten Endes am schmerzfreien Training. Der Schmerz ist eher dumpf und nicht stechend.
Ein ITBS habe ich selbst ausgeschlossen, weil die Symptome nicht zutreffen und die Übungen auf der Blackroll auch nicht wirklich einen Erfolg gebracht haben.
Im ganzen Internet habe ich keine Person gefunden, welche die ähnlichen Symptome hat. Meistens merken die Leute den Schmerz bereits während der Belastung.
Vielleicht können sie mit den von mir gemachten Angaben ja ein bisschen was anfangen. Ich gebe die Hoffnung nicht auf
.

Bin dankbar für jeden Ratschlag
Liebe Grüße
Dominic
ich melde mich aus der Verzweiflung heraus bei Ihnen. Seite einem Sportunfall (2010) beim Fußball werde ich meine Knieprobleme rechts nicht los.
Die OP am vorderen Kreuzband erfolgte im April 2011. Aufgrund der immer noch anhaltenden Schmerzen im Außenbereich des Knies wurde mein Meniskus 2012 genäht (was nichts gebracht hat). Da der Schmerz immer noch vorhanden war entschied ich mich 2014 nochmals für eine Athroskopie (rezension des außenmeniskus, was aber ebenfalls nichts brauchte). Demnach ist an meinem Knie meiner Meinung nach (zumindest aus medizinischer Sicht) nichts mehr zu machen.Jetzt zum Problem: Mit dem Fußball spielen habe ich aufgrund des "Stop&go´s" aufgehört. Seit dem letzten Jahr betreibe ich Triathlon.
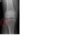
Jedoch habe ich noch Probleme im Gelenkspalt des Schien- / und Wadenbein (müsste das Tibiofibulargelenk sein).
Was wunderlich ist, dass ich Sport treiben kann und es während der Belastung auch eigentlich nicht weh tut. Nach dem Sport merke ich es dann ein wenig (gerade wenn ich in das Tibiofibulargelenk reindrücke). Der Schmerz ist nicht sehr stark, viel mehr nervend / störend. Teilweise rutsche ich an diesem Punkt auch über eine art Band / sehne, was mir dann weh tut.
Er hindert mich an einem intensiven und letzten Endes am schmerzfreien Training. Der Schmerz ist eher dumpf und nicht stechend.
(Einlagen, Ostepath, Physiotherapeut, neues MRT (alles soweit i.O.), Spritze (Hyaloronsäure, kortison) habe ich hinter mir,
Blockade Wadenbeinköpfchen liegt ebenfalls nicht vor). Langsam habe ich das Gefühl das mir keiner helfen kann.Ein ITBS habe ich selbst ausgeschlossen, weil die Symptome nicht zutreffen und die Übungen auf der Blackroll auch nicht wirklich einen Erfolg gebracht haben.
Im ganzen Internet habe ich keine Person gefunden, welche die ähnlichen Symptome hat. Meistens merken die Leute den Schmerz bereits während der Belastung.
Vielleicht können sie mit den von mir gemachten Angaben ja ein bisschen was anfangen. Ich gebe die Hoffnung nicht auf
Bin dankbar für jeden Ratschlag
Liebe Grüße
Dominic
