Suche passende Übungen um meine Computerhaltung auszugleichen
Ich wäre sehr dankbar wenn mir jemand passende Übungen zeigen könnte um meine Computerarbeit auszugleichen. Allgemeine Rückenübungsprogramme habe ich seit langer Zeit genug gesammelt und mache diese täglich. Mich würden spezielle Übungen interessieren die mir jetzt persönlich helfen könnten.

Mit der rechten Hand von oben kann ich meine linke Hand von unten problemlos berühren.
Anders herum geht es beim besten Willen nicht.

Meine schiefe Haltung kommt von meiner jahrelangen Computerarbeit.

Ich bin von klein auf sehr lang und dünn. Vermutlich ist mein Körperbild genetisch veranlagt. Ich esse viel und gern, bin auch viel unterwegs und wandere und renne regelmäßig. Ich mache um die 20 Liegestütze, schaffe aber nur einen Klimmzug.
Ich habe immer etwas Schmerzen in den Schultern und im Nacken. Nachts wache ich auf weil ich wie eine Art druckhaftes Rauschen vom Blut im rechten Ohr höre mit Pausen von 30 Sekunden. Als würde sich da etwas stauen und dann durchdrücken. Eine Zeit lang habe ich im Liegen auf dem rechten Ohr ein Probellergeräusch gehört, was aber jetzt seit einigen Monaten wieder verschwunden ist. Ich war deshalb in der HNO Klinik und in einer orthopädischen Praxis. Mit meinen Ohren ist alles gut aber meine Rückenmuskulatur sei unterentwickelt. Ich hatte Massagen bekommen und Basisübungen für den Rücken bekommen die ich täglich mache. Ich hätte mir gerne etwas spezifischere und individuellere Übungen gewünscht. So richtig konnte mir auch niemand erklären warum ich Geräusche, Puls und das Blutrauschen im rechten Ohr höre wenn ich mich hinlege.

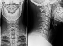
Hier ist noch eine Aufnahme von der Halswirbelsäule. Mir ist gesagt wurden damit sei auch alles ok.
Ein MRT wurde auch gemacht letztes Jahr als ich das Probellergeräusch hörte. Es sind also keine neurologischen Probleme und ich kann die Sache selbst beheben durch Sport und entsprechende Übungen wurde mir gesagt. Ich würde mich sehr freuen wenn mir jemand also noch ein paar passende Übungen zeigen kann, speziell für meine Statur, Rücken und Symptome.
Ich bedanke mich bei allen die sich das jetzt durchgelesen haben und für eure Zeit und Fachwissen. Wünsche ein schönes Wochenende und würde mich sehr freuen über neue Übungen, Erkenntnisse und Informationen
Ich wäre sehr dankbar wenn mir jemand passende Übungen zeigen könnte um meine Computerarbeit auszugleichen. Allgemeine Rückenübungsprogramme habe ich seit langer Zeit genug gesammelt und mache diese täglich. Mich würden spezielle Übungen interessieren die mir jetzt persönlich helfen könnten.

Mit der rechten Hand von oben kann ich meine linke Hand von unten problemlos berühren.
Anders herum geht es beim besten Willen nicht.

Meine schiefe Haltung kommt von meiner jahrelangen Computerarbeit.

Ich bin von klein auf sehr lang und dünn. Vermutlich ist mein Körperbild genetisch veranlagt. Ich esse viel und gern, bin auch viel unterwegs und wandere und renne regelmäßig. Ich mache um die 20 Liegestütze, schaffe aber nur einen Klimmzug.
Ich habe immer etwas Schmerzen in den Schultern und im Nacken. Nachts wache ich auf weil ich wie eine Art druckhaftes Rauschen vom Blut im rechten Ohr höre mit Pausen von 30 Sekunden. Als würde sich da etwas stauen und dann durchdrücken. Eine Zeit lang habe ich im Liegen auf dem rechten Ohr ein Probellergeräusch gehört, was aber jetzt seit einigen Monaten wieder verschwunden ist. Ich war deshalb in der HNO Klinik und in einer orthopädischen Praxis. Mit meinen Ohren ist alles gut aber meine Rückenmuskulatur sei unterentwickelt. Ich hatte Massagen bekommen und Basisübungen für den Rücken bekommen die ich täglich mache. Ich hätte mir gerne etwas spezifischere und individuellere Übungen gewünscht. So richtig konnte mir auch niemand erklären warum ich Geräusche, Puls und das Blutrauschen im rechten Ohr höre wenn ich mich hinlege.

Hier ist noch eine Aufnahme von der Halswirbelsäule. Mir ist gesagt wurden damit sei auch alles ok.
Ein MRT wurde auch gemacht letztes Jahr als ich das Probellergeräusch hörte. Es sind also keine neurologischen Probleme und ich kann die Sache selbst beheben durch Sport und entsprechende Übungen wurde mir gesagt. Ich würde mich sehr freuen wenn mir jemand also noch ein paar passende Übungen zeigen kann, speziell für meine Statur, Rücken und Symptome.
Ich bedanke mich bei allen die sich das jetzt durchgelesen haben und für eure Zeit und Fachwissen. Wünsche ein schönes Wochenende und würde mich sehr freuen über neue Übungen, Erkenntnisse und Informationen