Ringerfinger OP Frage

ChristofS

New member
Hallo,

ich hatte vor 5 Wochen eine Ringfinger OP (Osteoplasie) zwei Schrauben im Grundglied, durch eine Mehrfachfraktur ausgelöst. Danach 2 Wochen Gipsschiene. Dann 2 Wochen Bewegungsverbot vom Orthopäden.
Danach meinte mein Orthopäde, ich solle mal so probieren und wenn es nicht gut geht dann Krankengymnastik? Allerdings konnte ich da schon den Finger nur 40 Grad strecken und nach oben ging gar nichts (wurde gebogen eingegipst). Erstes Fingergelenk(nicht Grundgelenk) ist auch noch geschwollen. Im Grundglied kann ich auch gut bewegen aber eine Krümmung ist halt und um 40 Grad möglich und das schon 3 Wochen.

Danach wieder in Krankenhaus, der OA war bestürzt und meine so schnell wie möglich Ergo. Chancen wären gut.

Danach niedergelassen Orthopäde gewechselt und zum Handchirugen gegangen. Der meinte, er macht Ergo aber die Chancen wären gering.
Sollte die Ergo nicht bringen, dann erneute OP aber erst 3 Monaten später.

Nun meine Frage was soll ich nun Glauben, gibt es nun Chancen oder nicht?
Oder ist es bereits zu spät Ergo beginnt erst in der 6 Woche nach OP.
Sollte die Ergo nichts bringen, muss ich dann wirklich 3 Monate warten bis zur erneuten OP?

Was ist eure Erfahrung?

Gruß
Christof
 
Hallo, es ist mir nicht ganz klar was dir fehlt/fehlte!
Osteoplasie?! oder meinst du Osteoplastik?

Wo war die Fraktur genau?
An der Hand bzw. den Fingern kann man mehrere abschnitte bezeichnen:
Grundgelenk zwischen Handteller und erstem Fingerglied.
Grundknochen
Fingermittelgelenk
Mittelknochen
Fingerentgelenk
Fingerendknochen mit Fingernagel

Dein Finger wurde gebeugt eingegibst du kannst ihn jetzt nicht mehr Strecken kommst also über eine 40° beugung nicht mehr hinaus
Die Physiotherapie hat dies auch nicht verändern können!

Das kann viele Ursachen haben mögliche währen, knochenzellen sind an dein Gelenk gewandert und haben es versteift oder die Gelenkkapsel ist geschrumpft oder die Schrauben behindern die Bewegung oder die OP narben behindern die Bewegung.

Du siehst es gibt viele Möglichkeiten, je genauer du dein problem erklären kannst desto näher kommen wir hier die ursache dafür.
Aber auch dann ist es nur Hörensagen da man ohne einen Befund den man idealer weise selber erstellt hat eigentlich keine Aussage treffen kann.

Aber ein Tipp vorab, beweg beweg beweg versuch kleine gegenstände zu greifen, schreib wie wild auf der Tastatur (10 Fingersystem), je mahr du tust desto besser ist es. Einzige Einschränkung ist die Schmerzgrenze, also wenn etwas weh tut dann bitte nicht weiter machen.

cu Micha
 
Vielen Dank für die Tipps, genaue Beschreibung des Problem, siehe unten im Text.

Hallo, es ist mir nicht ganz klar was dir fehlt/fehlte!
Osteoplasie?! oder meinst du Osteoplastik?

Wo war die Fraktur genau?
An der Hand bzw. den Fingern kann man mehrere abschnitte bezeichnen:
Grundgelenk zwischen Handteller und erstem Fingerglied.
Grundknochen
Fingermittelgelenk
Mittelknochen
Fingerentgelenk
Fingerendknochen mit Fingernagel

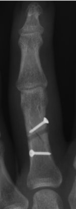
Ich hatte eine Mehrfachfraktur im Grundglied (Grundknochen). Hier sind 2 Schrauben drin diese sind vor dem Fingermittelgelenk. Das Fingermittelgelenk ist nicht betroffen. Schrauben sind weit vom Fingermittelgelenk entfernt wie ich es sehe. Siehe Anhang.



Dein Finger wurde gebeugt eingegibst du kannst ihn jetzt nicht mehr Strecken kommst also über eine 40° beugung nicht mehr hinaus
Die Physiotherapie hat dies auch nicht verändern können!

Genau, Strecken geht nicht und über eine 40° Beugung komme ich auch nicht. Der Finger ist im "Normalzustand" ca. 5° gebeugt.
Physiotherapie hatte ich ja noch nicht, weil der Orthopäde es ja nicht für nötig hielt.

Ergotherapie fangt am Dienstag an um die Beweglichkeit herzustellen.
Hier halt die zwei Aussage von Ärzten einer der sagt gute Chancen, der Andere der sagt schlechte Chance bis überfüssig, da die Verklebungen zu stark wären.

Das kann viele Ursachen haben mögliche währen, knochenzellen sind an dein Gelenk gewandert und haben es versteift oder die Gelenkkapsel ist geschrumpft oder die Schrauben behindern die Bewegung oder die OP narben behindern die Bewegung.


Du siehst es gibt viele Möglichkeiten, je genauer du dein problem erklären kannst desto näher kommen wir hier die ursache dafür.
Aber auch dann ist es nur Hörensagen da man ohne einen Befund den man idealer weise selber erstellt hat eigentlich keine Aussage treffen kann.

Aber ein Tipp vorab, beweg beweg beweg versuch kleine gegenstände zu greifen, schreib wie wild auf der Tastatur (10 Fingersystem), je mahr du tust desto besser ist es. Einzige Einschränkung ist die Schmerzgrenze, also wenn etwas weh tut dann bitte nicht weiter machen.

cu Micha
 

Anhänge

  • Ringfinger.jpg
    Ringfinger.jpg
    36,1 KB · Aufrufe: 4
Also ok du darfst also offiziell seit 1 Woche bewegen und hast seit 3 Wochen die Gipsschiene die du 2 Wochen getragen hast los.
Der 2. Orthopäde meinte das du starke verklebungen hast das wird sicher zum einen dafür sorgen das die Bewegung einschränkt zum anderen sagst du das der Finger im Bereich des Gelenks geschwollen ist, dadurch wird mehr Spannung im Gewebe aufgebaut was ebenfalls die Bewegung früher enden lässt.
Die Hand ist ein kompliziertes kleines ding und schon kleinste Abweichungen von der Norm können große Probleme bereiten.
Ich würde schon davon ausgehen das du noch etwas an Bewegung rausbekommen kannst, versuch die Ergotherapie und in 3-4 Wochen vielleicht noch Manuelle Therapie.
Bis dahin viel im schmerzfreien Bereich bewegen (Beugen, Strecken, Fingerspitzen zu Daumenspitzen dann Hand wieder ganz öffnen, Die Hand so oft es geht Hochlegen, oder auch mal in einem Wännchen (10-14°C) mit kühlem Wasser üben.
Und die Anwendungen (Rezepte) verschreiben lassen solange wie nur irgend möglich du hast 3 Monate zeit bis dich der Handchirurg ein 2. mal Operieren mag, es hört sich lang an / ist sicher auch lang aber wenn du die Karenzzeit bekommst würde ich sie bestmöglich nutzen wenn man damit eine weitere OP vermeiden kann.

cu Micha
 
Ok. Vielen Dank für die Tipps. Mal sehen was man mit Ergo noch rausholen kann. Dann heißt es üben üben üben. Vielleicht komme ich um die 2. OP rum.

Gruß
Christof
 
Hallo,
ich wollte nur kurz berichten wie es beim Ergotherapeut war.
Nachdem mein Unfallchirurg mir alle Hoffnung auf besser genommen hat und mir in 3 Monaten die nächste OP prophezeit hat, bin ich mit gemischen Gefühle zum Ergo geganngen.
Es ist eine große Reha-Praxis mit Focus auf Handreha.

Der Ergotherapeut hat sehr nett und nachdem ich Ihm alles erzählt hatte, einschließlich das der Unfallchirurg der Ergo keine großen Chancen einräumt, begann er sich mit meinem Finger zu beschäftigen. Und siehe da nach einer Handenspannung und mehrer nicht schmerzhaften versuchen hat er es geschafft den Finger bis zum meiner Handfläche zu bewegen. Das habe ich und der Unfallchirurg noch nicht geschafft.

Der Ergo räumte mir sehr gute Chance zur Genesung ein und sagte das dies sehr gut aussehe und der Unfallchirurg nicht Recht hat mit der OP. Das gekommen wir schon hin.

Danach gab es einen Silikonschlauch und ein paar Übungen zur Hausaufgabe.


Mal sehen ob es was wird, war ja erst der erste Termin. Aber ich bin auch guter Dinge.

Gruß
Christof
 
Na also, das freut mich sehr das du wieder etwas Hoffnung bekommen hast.

Jeder will halt immer das tun was er gelernt hat, oder wie ich immer sage "schlechter Chirurg der nicht schneiden mag" :-)

LG Micha
 
Zurück
Oben